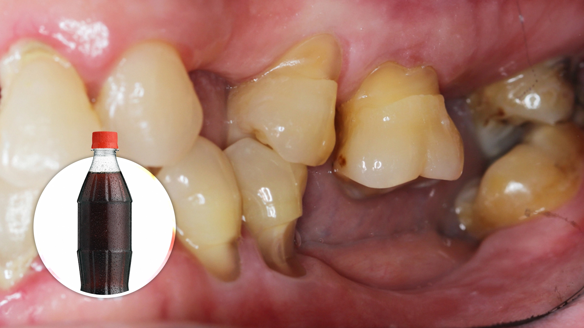
El refresco no solo es azúcar… también es ácido.
Desde el primer trago… empieza el daño.
El líquido entra a tu boca… y cubre cada diente como una capa invisible.
El ácido comienza a atacar el esmalte… la parte más dura de tu cuerpo.
Pero no es indestructible.
Poco a poco… ese esmalte se va debilitando… se va desgastando… como si lo estuvieran raspando en silencio.
Luego entra el azúcar.
Las bacterias en tu boca se alimentan de ella… y producen más ácido.
Más ataque.
Más desgaste.
Como si tus dientes estuvieran bajo un ataque constante… trago… tras trago… tras trago.
Al principio… no lo sientes.
Pero por dentro… el esmalte se adelgaza… se vuelve más frágil… más sensible.
— Un tip sencillo: después de tomar refresco, enjuágate la boca con un poco de agua.
No elimina todo el daño… pero ayuda a reducir el ácido.
Hasta que un día… el dolor aparece.
Un frío… un dulce… y sientes un golpe directo al nervio.
Porque lo que protegía tu diente… ya no está igual.
No es solo una bebida.
Es un desgaste lento… constante… y muchas veces… irreversible.
Por eso… cada vez que tomas refresco… no solo estás calmando la sed… estás debilitando tu sonrisa.
— Un tip sencillo: después de tomar refresco, enjuágate la boca con un poco de agua.
No elimina todo el daño… pero ayuda a reducir el ácido.
